洗牙越來越受人們的歡迎,牙醫說每天都有大人、小孩在線預約洗牙。但是,大部分人對洗牙缺乏了解。小編就從以下問題、結合親自洗牙的感受為大家詳細介紹!
目錄
- 什麼是洗牙?
- 為什麼要洗牙?
- 洗牙最先進的方式
- 超聲波洗牙的好處?
- 值得入手的超聲波洗牙器推薦
- 洗牙五大疑問?
- 多久洗一次牙合適?
- 不定期洗牙有哪些危害?
- 口腔衛生維護
一、什麼是洗牙?
指用潔治器械去除牙齦上牙石、菌斑和色漬,並磨光牙面,以延遲菌斑和牙石再沉積。牙菌斑和牙結石是牙周病最主要的局部刺激因素,潔治術是去除齦上菌斑和牙石最有效的方法。

二、為什麼要洗牙?
清除刷不掉牙菌斑、牙結石;維持牙周組織健康。
(1)牙菌斑,是一種細菌性生物膜;基質包裹的互相粘附、或粘附於牙面、牙間或修復體表面的軟而未礦化的細菌性群體,不是水沖洗或漱口普通刷牙就能去掉的一種細菌性生物膜。
它是導致蛀牙、牙齦炎、牙周炎、口臭的主要因素!

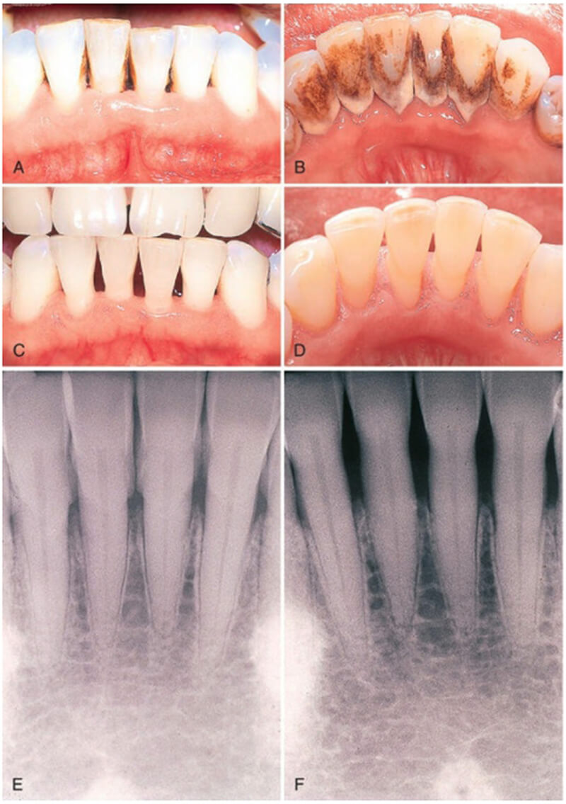
(2)牙結石,是一種由牙齒生物膜上的礦物沉積物形成的固體結構!由微生物碎片、食物殘渣和唾液堆積組成。隨著時間的推移,這種混合物會凝固並沉積在牙齒和牙齦邊緣。
它是牙齦出血、牙周袋加深、牙槽骨吸收、牙周疾病發展主要致病因素

(3)牙面著色,經常吸煙,核查的人牙面上會有煙斑,茶漬,不僅不美觀,引起牙周疾病,影響健康。只能徹底清除菌斑、牙結石、才能保持牙周健康!
而牙結石只能通過洗牙去除。

三、洗牙最先進的方式
最先進的洗牙方式是超聲波洗牙。超聲潔牙器由超聲波發生器和換能器組成,發生器發出電磁振盪,並將功率放大,換能器將高頻電能轉換為超聲振動,振動頻率達2萬至4.5萬赫茲,通過換能器上工作頭的高頻振盪將附著於牙面上的牙石去除。

四、超聲波洗牙的好處?
有效的去除牙菌斑、牙垢,改善牙齒疾病和美白牙齒;預防牙齦炎、牙周炎等等牙周疾病!改善口臭
去除牙結石、 牙垢、牙漬、煙漬、茶漬、改善牙黃、口腔異味

五、值得入手的超聲波洗牙器推薦
這款智能可視殺菌超聲波潔牙器震動原理為超聲波換能器震動,超聲波不傷害牙齒,接觸了牙齒才震動,感應到牙齦時就會停止工作!
不用再去醫院排隊,在家就能洗牙!
真是省時省力省錢!
UV紫外線殺菌,滅菌率高達99.9%,防止細菌滋生,安全又衛生

500W高清專業內窺鏡,360°傾角識別,無死角清潔牙齒

有沒有用我們直接看效果!
小編親自使用效果
掉落的牙結石
太惡心啦~


立即購買
六、洗牙五大疑問?
洗牙會傷害牙釉質?
牙齒上的牙釉質並沒有想像中的脆弱,牙釉質的硬度可是骨頭的3-4倍,洗牙使用超聲波震動的洗牙器將牙結石從牙齒上震落清除,並不會對牙釉質造成傷害
洗牙會流血,牙縫還會越來越大?
洗牙會出血是因為牙結石上的細菌造成牙齦發炎、腫脹,當牙結石清除乾淨,發炎的牙齦逐漸消腫,流血的狀況便自然會改善。
當你牙齒有牙結石時,是牙結石把牙縫堵住了,洗牙時會將牙結石移除,原本的牙縫顯露出來,當舌頭在碰觸牙齒時已不會碰觸到牙結石,可直接觸碰到牙縫,所以會有洗完牙牙縫變大錯覺,這是正常的現象。

洗牙後牙齒鬆動?
牙齒鬆動的狀況只有嚴重的牙周病患者才會出現,當牙結石長久累積,導致牙齦反覆發炎,長期下來會有牙齦萎縮、齒槽骨被吸收的狀況發生,這時牙結石仍填滿牙縫,會讓人有牙齒仍屹立不搖的錯覺。當洗牙後牙結石被移除,才發現牙齒早已失去支撐的根基,無齒槽骨、牙齦的保護,才會造成牙齒鬆動。

洗牙後牙齒變的敏感痠軟?
牙齒於洗牙後變的敏感酸軟是因為把堆積於牙根、牙縫間的牙結石清除後,原本覆蓋住的牙本質或是發炎的牙齦就露了出來,這時外界的刺激 (如冷空氣或冷、熱水等等) 時會較為敏感
面對洗牙後牙齒變敏感的情形,可以選擇比較溫和的食物,避免吃冷、熱或是酸的,一般而言過幾天到一兩週內會漸漸恢復。

洗牙後牙齒會變白
洗牙不一定會讓牙齒變白,洗牙是把堆積在牙齒表面的牙結石清除乾淨,若因抽煙或飲食造成的牙齒染色或是牙齒本身顏色偏黃,洗完牙會有使牙齒變潔白錯覺。

七、多久洗一次牙合適?
這個看個人口腔問題,有人口腔衛生比較差,平時又不注意護理,3個月左右洗一次;有人口腔衛生保持好,一年洗1-2次
八、不定期洗牙有哪些危害?
牙結石、煙斑、菌斑、長期呆在牙齦邊會產生大量細菌,刺激牙齦發炎,出血、腫脹、導致口臭、進一步破壞牙齦根周圍的骨頭,是的牙齦萎縮牙根暴露,牙齒鬆動脫落!
九、口腔衛生維護
- 兩個月左右更換一次牙刷
- 每天至少刷兩次牙
- 正確使用水牙線
- 定期洗牙(選擇合適的家用超聲波洗牙器)

(圖上所述是小編口腔護理產品)



